你或许熟悉天平在交易中的公平,在药房里的精准,在实验室中的严谨。
在手术室的无影灯下,也有一种“天平”,它称量的不是重量,而是生命的空间与手术的安全。
这,便是胸外科领域的一项巧妙创新微创术——“天平拉钩”技术。
近日,广安市人民医院胸外科左小平副主任医师团队成功将这一技术应用于一例特殊复杂的纵隔肿瘤切除手术。凭借其独特的力学设计,团队为一位年轻患者化解了“心头之患”,以更小的创伤攻克了复杂的病情,标志着该院纵隔疾病微创治疗进入新阶段。
3.5cm的肿物贴着心脏长
在人体胸腔深处、两肺之间,有一个名为纵隔的核心区域。这里,心脏搏动,大血管穿梭,重要神经交织,是生命能量传输的“交通要道”。
一旦这里长出肿物,尤其是位于胸骨后的前纵隔肿物,手术就变得异常棘手,它往往紧挨着心脏大血管生长,彻底切除肿瘤的同时,还要确保这些“生命通道”毫发无损。

患者情况复杂
30岁的黄女士就面临着这样的挑战。一年前她在体检中发现前纵膈肿物,近期复查显示,该肿物已显著增大至3.5厘米。且肿物位置十分“刁钻”,紧贴胸骨与心脏之间,并与重要血管紧密相邻。若不及时处理,肿物可能继续增大,进而压迫心脏及大血管,甚至侵犯周围组织。
由于肿瘤位置特殊,手术本身已颇具难度。更棘手的是,黄女士曾因左侧肺癌接受过手术,胸腔内存在严重粘连。这导致常规微创手术视野受限,操作空间狭窄。要在粘连严重的区域完整剥离肿瘤,不仅风险极高,更是对主刀医生技术的极大考验。

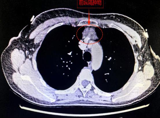
胸部CT显示前纵隔肿物紧贴心脏大血管
“天平拉钩”巧扩生命通道 破解手术困局
面对既要彻底清除病灶,又要最大限度减少创伤的双重挑战,胸外科左小平副主任医师团队经过深入评估与讨论,与患者及家属充分沟通后,最终决定采用国内领先的 “经皮天平拉钩抬高胸骨法”,为患者开辟安全的手术新路径。
该技术由四川大学华西医院田东教授于2024年首创,其核心理念是 “经皮悬吊”。不同于传统手术,该术式通过在胸壁制作两个微小穿刺孔,将特制拉钩置于皮下并连接体外支架,从而像“天平”一样轻柔抬起胸骨,能显著扩大前纵隔手术空间。

AI示意图
这一创新方法可将胸骨后间隙扩展至6厘米以上,让心脏、大血管、膈神经等重要结构清晰显露,为精准、完整切除病变创造了理想条件。而且不需要向胸腔内部充二氧化碳,避免了相关并发症的风险。
目前,该技术已在国内数十家医院成熟开展,安全性与有效性得到充分验证,为复杂纵隔肿瘤的微创治疗提供了可靠方案。
单孔入路 精准拆弹 术后三天康复出院
在麻醉手术中心密切配合下,手术顺利开展。团队仅在患者剑突下方切开一个约3厘米的小口,借助天平拉钩建立的稳定、宽阔的视野,配合娴熟的操作技巧,精准辨识并妥善保护双侧膈神经与重要血管,将肿物及周围脂肪组织完整剥离。整个手术过程流畅,几乎无明显出血。

术后第一天,黄女士便可自由下床活动,恢复情况远超预期,术后3天便顺利出院,真正践行了“快速康复”的治疗理念。

技术优势显著 微创手术的“空间革命”
此次应用的“经皮天平拉钩辅助胸腔镜经剑突下前纵隔肿物切除术”,凭借其独特的技术优势,成为纵隔肿物治疗的优选方案,堪称微创手术的“空间革命”:
1、视野清晰,操作更安全
抬高的胸骨创造了前所未有的立体操作空间,心脏大血管、双侧膈神经一览无余,极大降低了误伤风险。
2、创伤更小,恢复更快
手术仅需一个3厘米主切口加两个微小穿刺点,无需切断胸骨、肋间肌与神经,术后疼痛轻微,患者下床活动早,住院时间显著缩短,减轻了患者的痛苦与经济负担。
3、免充气,更生理
充足的空间无需向胸腔强制充入二氧化碳的需要,避免相关并发症风险,更符合生理状态,进一步提升了手术的安全性。
4、适应复杂情况
尤其适用于像黄女士这样有胸部手术史、胸腔粘连的患者,以及肿瘤位置高、体积大的复杂病例,打破了常规微创手术的适用局限。
此次技术的成功开展,不仅为复杂纵隔肿瘤患者提供了一种更优、更精准的微创解决方案,其展现的创新理念与可靠效果,也为该院未来开展“经剑突下同期行双侧肺结节切除术”,“经纵隔胸腔镜食管癌根治术”等更高难度的复合微创手术,奠定了坚实的技术基础,持续引领着区域胸部微创外科水平向前发展。
(韩冰 雍琪隆 文/图)
